近日在“2017世界3D打印技術產業大會暨博覽會”上體驗3D打印時的情景,整個過程顯得很容易,操作十分簡便。據世界3D打印技術產業聯盟秘書長羅軍介紹,3D打印就是將設計好的物體轉化為三維設計圖,采用分層加工、疊加成型的方式逐層增加材料來打印真實的物體。

羅軍說,雖然人們對“3D打印”這個概念依然陌生,但實際上它在上世紀80年代初就已經誕生。“這30年來,3D打印技術逐漸發展成熟,與之相關的設備也已形成桌面級、工業級和生物工程級三大類。”
博覽會上,東莞市創客聯盟網絡科技有限公司創始人陳晶女士說,“3D打印”在教育領域已形成了較大的市場。“從小學到大學,國內不少學校均將3D打印機作為教學實踐的工具,小學生不用像過去那樣剪紙了,用它就能將自己的想法變成實物,大學生也可以用它完成各種設計的創作。”
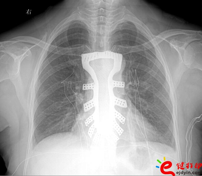
當然,“3D打印”的世界遠不止如此。據參加大會的專家和企業負責人介紹,目前“3D打印”已被運用在文化創意、文物修復、生物醫療、工業設計等多個領域。如,在航空航天器材上,一些關鍵零部件采用“3D打印”一次成型,使得其功能更加實用,重量大幅減少;在醫療領域,“3D打印”被運用于牙齒再造和骨骼修復等方面,從而使治療更加精準。