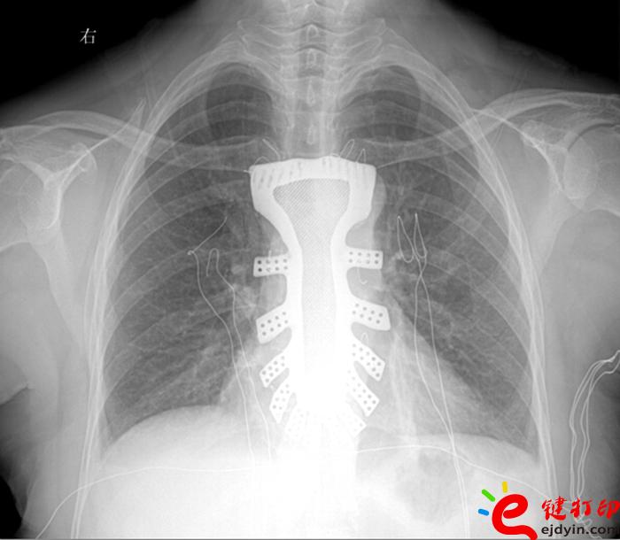
據王小平教授介紹,唐都醫院3D打印小組經過精密計算患者胸骨的大小、形狀等,充分研究討論,歷時一周,為患者設計出了手術使用的3D胸骨模型,并與西北工業大學凝固技術國家重點實驗室合作,為患者打印出了1:1鈦合金胸骨模型。隨后,又對該模型進行了一系列嚴密的醫學處理。

“手術歷時2.5小時,對患者的胸骨進行了整體切除,置換了鈦合金胸骨,目前患者恢復良好,未發現任何并發癥?!蓖跣∑浇淌诜Q,根據專業機構檢索,該手術是世界首例針對胸骨腫瘤疾病,將3D打印的可植入性鈦合金胸骨植入人體,實現病變胸骨的整體置換的手術。該手術的成功意味著未來將會為更多的胸骨腫瘤患者帶來福音。

“現在感覺和生病前沒什么區別?!?月8日,記者在唐都醫院病房見到顧女士時,她氣色很好,有說有笑。除了胸前留下一條長長的疤痕外,從外表看與健康人沒什么兩樣。
參與此次3D鈦合金胸骨設計的唐都醫院3D打印團隊王臻博士表示,此次嘗試是3D打印技術與外科手術的一次完美結合。3D打印的個性化服務與醫學有著天然的聯系,目前3D打印技術在醫學上的研究越來越廣泛,為醫學的未來發展提供了無限可能。